Ceramica Integrale senza metallo
Caso 1
Corona in ceramica integrale Vita Mark II
Caso 2
Corona in ceramica integrale Vita Mark II
Caso 3
Corona in ceramica integrale Vita Mark II
Caso 4
Corona in ceramica integrale Vita Mark II
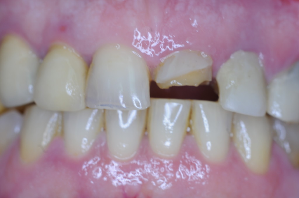
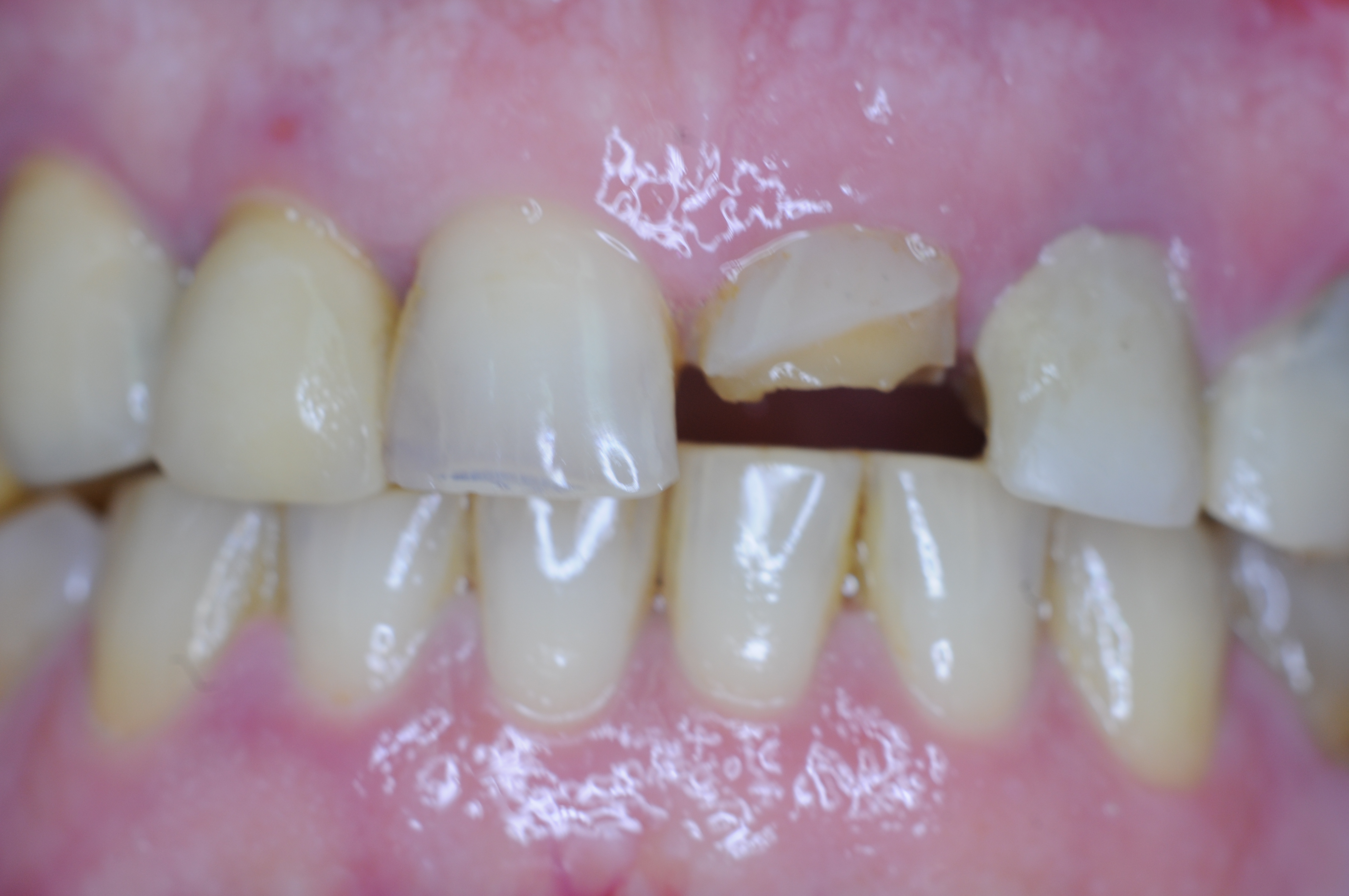
Caso 5
Corona in ceramica integrale Vita Mark II
Caso 6
Corone e faccette in ceramica integrale Vita Mark II

















