Navigation Menu
Home
Chi siamo
Dott. Giovanni Baglietto
Dott.ssa Maria Angela Giacomarra
Ylenia Brigida
Le Terapie
Le Terapie Odontoiatriche
Odontoiatria Estetica
La radiologia digitale, efficacia e sicurezza
Chirurgia e Parodontologia
Istruzioni per un buon decorso post-operatorio
Implantologia
Istruzioni per gli impianti immediati
Ortodonzia
Istruzioni per il paziente ortodontico
Le Terapie Estetiche
Plexr – Soft Surgery – La Chirurgia estetica non ablativa
I Filler
Sistemi CAD CAM
L’ impronta digitale
Protesi innovativa
La Garanzia a Vita
Ceramica Integrale
Impianti Dentari
Protesi fisse in ceramica (corone singole o ponti)
Media
Galleria Fotografica
Implantologia
Odontoiatria Estetica
Labbra
Chirurgia
Ceramica CAD CAM
Ceramica Integrale senza metallo
Ceramica su Zirconia
Intarsi
Resina CAD CAM
Galleria Video
Intervista a Telenord canale 13
Realizzazione ponte in Zirconia
Realizzazione cad cam di due canini superiori
Plexr: Blefaroplastica non chirurgica
Plexr : Asportazione macchia cutanea
Plexr: rimozione rughe d’espressione
Plexr : Trattamento dell’acne
Plexr : Rimozione degli angiomi
Offerta del Mese
Novembre
Dicembre
Gennaio 2014
Febbraio
Maggio
Giugno
Novembre
Gennaio 2015
Dove siamo
Contatti
Doctoralia
Misterimprese
Reteimprese
Aziende Virgilio
I Città
Follow us on Twitter
Follow us on Facebook
Subscribe To Rss Feed
Follow Us On Google+
Home
»
Resina CAD CAM - Dott. Giovanni Baglietto
Resina CAD CAM
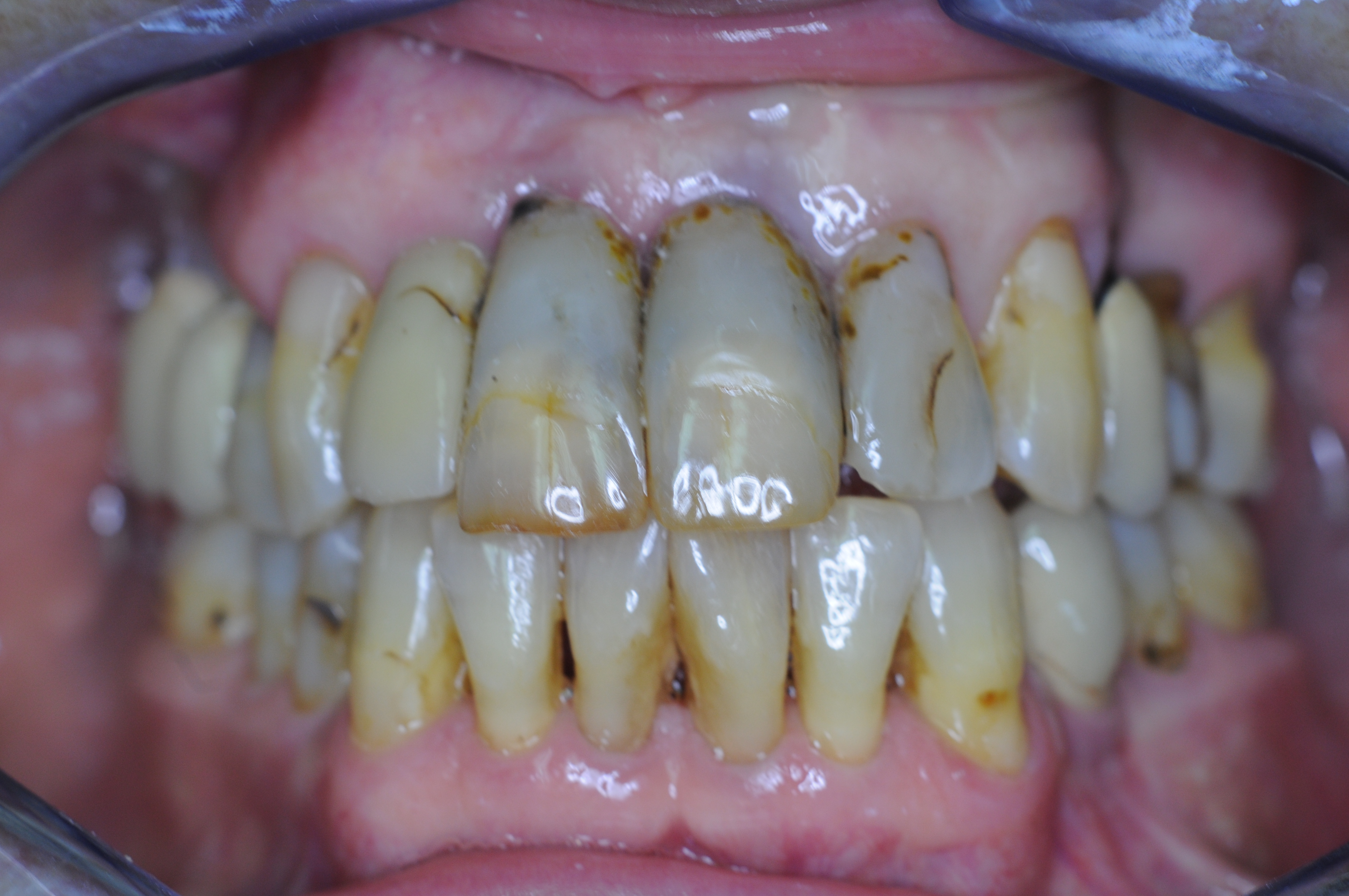
Situazione iniziale
I pilastri
Lavoro finito
Guarda il nostro Canale YOUTUBE
Ricerca per:
Iscriviti per ricevere le offerte del mese !
marzo: 2026
L
M
M
G
V
S
D
« ott
1
2
3
4
5
6
7
8
9
10
11
12
13
14
15
16
17
18
19
20
21
22
23
24
25
26
27
28
29
30
31